Deckakt
Vater: Kairon von der Jungfernmühle Berlin
Geburtsdatum: 13.03.2022
Mutter: Coffee vom Brunnenhof
Geburtsdatum: 09.01.2023
Decktag: 13. / 15. November 2025
Trächtigkeit
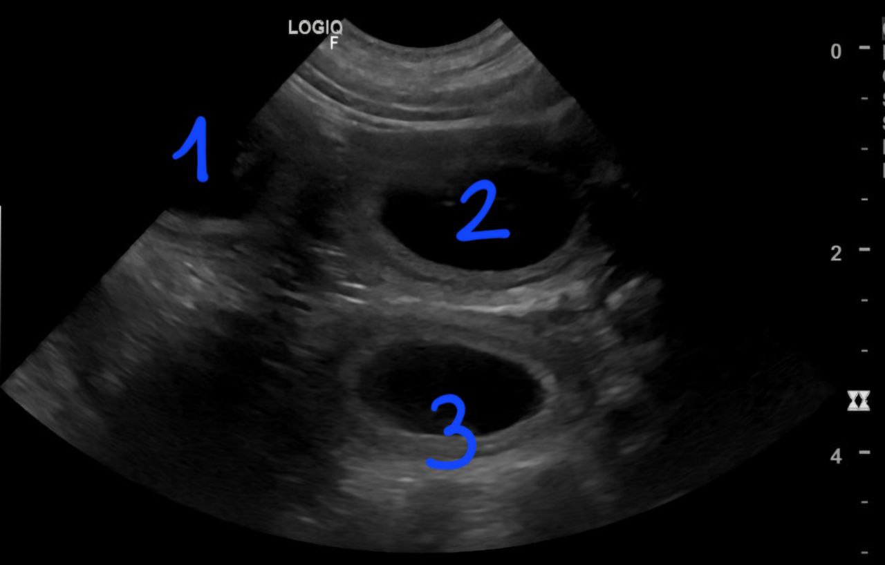
Am 10.12. hatten wir einen Ultraschall-Termin und die schon bereits vermutete Schwangerschaft wurde bestätigt.
Drei Fruchtblasen sind zu sehen.
Hier erkennt man schon einen Welpen.
Die Tierärztin konnte drei Welpen gleichzeitig im Ultraschall erkennen. Wie viele Welpen es aber genau sind, blieb bis zur Geburt eine Überraschung.
Coffee nahm im Laufe der Schwangerschaft etwas mehr als 4,5 kg zu.
Dennoch war ihr Bauch lange Zeit relativ schmal und erst kurze Zeit vor der Geburt etwas größer, weshalb wir einen kleineren Wurf vermuteten.
Auf den zwei folgenden Bildern sieht man Coffee 4 Tage vor der Geburt (13.01.2026).
Im Stehen ist der Bauch nur leicht zu sehen.
Im Sitzen sah man aber schon, dass sie zugenommen hatte.
Geburt
Am 17.01.2026 kam unser A-Wurf auf die Welt. Es sind 3 Rüden und 3 Hündinnen.
Unsere Rüden:
~ 15 Stunden alt
Wir möchten euch unsere drei Rüden vorstellen:
💙 blau:
Der Erstgeborene kam um 2:33 Uhr mit einem Gewicht von 460g zur Welt.
Coffee hatte somit am Anfang direkt den schwersten Welpen und etwas zu kämpfen.
Die anderen Welpen kamen dann super problemlos.
💚 grün:
Unser zweiter Rüde erblickte die Welt um 3:08 Uhr mit einem Gewicht von 450g.
🧡 orange:
Der dritte Rüde kam um 3:36 Uhr mit einem Gewicht von 430g auf die Welt.
Er sah anfangs etwas zärtlicher als seine Brüder aus, hat aber bereits nach 2 Tage seinen Bruder (grün) um 20g überholt.
~ 3 Tage alt
Unsere Hündinnen:
~ 15 Stunden alt
Nachdem Coffee 2 Stunden Pause hatte, ging es mit unseren drei Hündinnen weiter.
🩷 rosa:
Unsere erste Hündin kam um 5:33 Uhr mit einem Gewicht von 400g auf die Welt.
💜 lila:
Kurz danach, um 5:45 Uhr, kam direkt unsere zweite Hündin, mit einem Gewicht von 425g.
Sie war von den Mädels die schwerste und trinkt auch super fleißig. Sie hat nach zwei Tagen schon zwei unserer Rüden überholt. Wir sind gespannt, wie sich das entwickelt.
❤️ rot:
Nach einer kurzen Pause erblickte die dritte Hündin um 6:32 Uhr mit einem Gewicht von ebenfalls 400g die Welt.
~ 3 Tage alt
Woche 1
Unsere Kleinen trinken fleißig und haben schon ordentlich zugenommen. Momentan schlafen sie noch viel.
Coffee ist momentan noch dauerhaft mit in der Wurfkiste.
Die Kleinen können aber auch schon ganz schön quieken, wenn Coffee mal kurz die Wurfkiste verlässt, um in den Garten zu gehen.
Rüden - 1 Woche alt:
Herr Blau
Herr Grün
Herr Orange
Hündinnen - 1 Woche alt:
Frau Rosa
Frau Lila
Frau Rot
Woche 2
In bereits kurzer Zeit haben sich die Kleinen von winzigen, hilflosen Wesen zu kleinen, properen Fellknäulen entwickelt.
Mittlerweile bringen sie ein Gewicht von 1.140g bis 1.340g auf die Waage.
Seit einigen Tagen stemmen sich die Kleinen immer entschlossener auf ihre Beinchen und wagen die ersten Gehversuche. Noch sind sie dabei etwas tapsig und unsicher, doch mit jedem Versuch klappt es schon ein Stück besser.
Inzwischen haben auch alle Welpen ihre Augen geöffnet.
Wir haben auch dieses Mal wieder versucht ein Gruppenbild zu machen. Allerdings war es bereits deutlich schwieriger, dass alle ruhig liegen bleiben. Deshalb haben wir die Kleinen, während sie schalfen, nebeneinander gelegt.
Rüden - 2 Wochen alt:
Herr Blau
Herr Grün
Herr Orange
Hündinnen - 2 Wochen alt:
Frau Rosa
Frau Lila
Frau Rot
Woche 3
Die Zeit vergeht so schnell und unsere Welpen sind mittlerweile schon ganz schön gewachsen und wiegen bereits zwischen 1.610g und 1.820g.
Diese Woche ist einiges passiert.
Es gab das erste Mal zusätzlich etwas Ziegenmilch. Anfangs waren alle etwas skeptisch, aber dann hat es allen gut geschmeckt.
Wir haben außerdem den Welpenbereich vergrößert, da die Kleinen schon sehr aktiv sind. (Davor waren sie nur in ihrer Wurfkiste.)
Rüden - 3 Wochen alt:
Herr Blau
Herr Grün
Herr Orange
Hündinnen - 3 Wochen alt:
Frau Rosa
Frau Lila
Frau Rot
Woche 4
Unsere Kleinen sind wieder ordentlich gewachsen und wiegen jetzt zwischen 2.310g und 2.635g.
Es wird mittlerweile schon viel gespielt, weshalb wird den Welpenbereich wieder etwas vergrößert haben.
Es gab auch die erste, kurzen Ausflüge in den Garten.
Zurzeit haben wir aber leider kein gutes Wetter und die Welpen wollen immer alle ziemlich schnell wieder rein.
Rüden - 4 Wochen alt:
Herr Blau
Herr Grün
Herr Orange
Hündinnen - 4 Wochen alt:
Frau Rosa
Frau Lila
Frau Rot
Woche 5
Leider haben wir dieses Mal kein Bild, auf dem alle Welpen brav nebeneinander liegen. Letzte Woche war es schon schwierig, aber diese Woche war es unmöglich. Sie sind alle immer wieder weggelaufen.
Von Tag zu Tag werden sie aktiver, neugieriger und verspielter. Ob drinnen oder im Garten, überall wird getobt, entdeckt und miteinander gespielt.
Ein besonderes Highlight war ihr ersten Kennenlernen mit dem Schnee. Anfangs waren sie etwas vorsichtig und skeptisch, aber dann hatten sie offensichtlich großen Spaß im Schnee zu toben.
Mittlerweile bringen unsere Welpen zwischen 2.835g und 3.455g auf die Waage.
Rüden - 5 Wochen alt:
Herr Blau
Herr Grün
Herr Orange
Hündinnen - 5 Wochen alt:
Frau Rosa
Frau Lila
Frau Rot